missing translation for 'onlineSavingsMsg'
Learn More

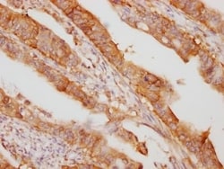
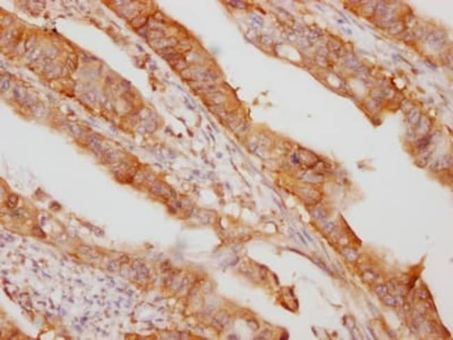
eIF5A Antibody (5E1), Novus Biologicals™

Rabbit Monoclonal Antibody

Brand:  Novus Biologicals NBP3-26604-100ul

 View more versions of this product

Product Code. 30043166

  • 533.00€ / 100µL

Please to purchase this item. Need a web account? Register with us today!

This item is not returnable. View return policy

Description

Description

eIF5A Monoclonal antibody specifically detects eIF5A in Human samples. It is validated for Western Blot, Flow Cytometry, ELISA, Immunohistochemistry, Immunocytochemistry
TRUSTED_SUSTAINABILITY
Specifications

Specifications

eIF5A
Monoclonal
Unconjugated
PBS, pH 7.4, 150mM NaCl and 50% glycerol
Rabbit
Affinity purified
RUO
Primary
Human
Purified
Western Blot, Flow Cytometry, ELISA, Immunohistochemistry, Immunocytochemistry
5E1
Western Blot 1:500-1:5000, Flow Cytometry 1:20-1:200, ELISA, Immunohistochemistry 1:50-1:200, Immunocytochemistry/Immunofluorescence 1:20-1:200
eIF-4D, eIF-5A, eIF-5A1, eIF-5A-1, EIF5A1, eIF5AI, eukaryotic initiation factor 5A, Eukaryotic initiation factor 5A isoform 1, eukaryotic translation initiation factor 5A, eukaryotic translation initiation factor 5A-1, MGC104255, MGC99547, Rev-binding factor
A synthesized peptide derived from Human eIF5A [UniProt P63241]
100 μL
Apoptosis, Cell Biology
1984
Store at -20 to -70C. Avoid freeze-thaw cycles.
IgG
Product Suggestions

Product Suggestions

Videos
SDS
Documents

Documents

Certificates
Promotions

Promotions

Product Content Correction

Your input is important to us. Please complete this form to provide feedback related to the content on this product.

Product Title

By clicking Submit, you acknowledge that you may be contacted by Fisher Scientific in regards to the feedback you have provided in this form. We will not share your information for any other purposes. All contact information provided shall also be maintained in accordance with our Privacy Policy.

Thank You! Your feedback has been submitted. Fisher Scientific is always working to improve our content for you. We appreciate your feedback.