missing translation for 'onlineSavingsMsg'
Learn More

ChemR23/CMKLR1 Antibody (BZ194) - BSA Free, Novus Biologicals™

Rat Monoclonal Antibody

Brand:  Novus Biologicals NBP1-43233-0.05mg

 View more versions of this product

Product Code. 18518170

  • 409.00€ / 50µg

Please to purchase this item. Need a web account? Register with us today!

This item is not returnable. View return policy

Description

Description

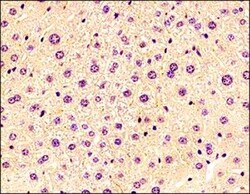
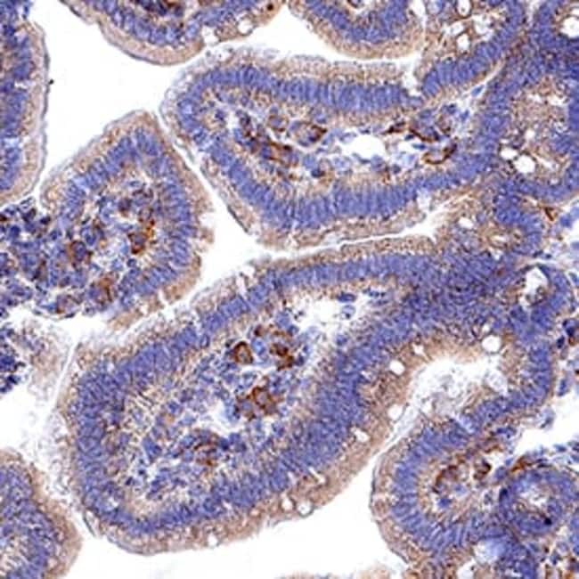
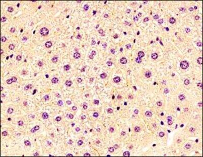
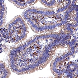
ChemR23/CMKLR1 Monoclonal antibody specifically detects ChemR23/CMKLR1 in Mouse samples. It is validated for Flow Cytometry, Immunohistochemistry, Immunohistochemistry (Paraffin)
TRUSTED_SUSTAINABILITY
Specifications

Specifications

ChemR23/CMKLR1
Monoclonal
0.5 mg/mL
Flow Cytometry 1:10-1:1000, Immunohistochemistry 1:100 - 1:200, Immunohistochemistry-Paraffin 1:100 - 1:200
P97468
Rat
Protein A or G purified
RUO
Primary
Mouse
Purified
Flow Cytometry, Immunohistochemistry, Immunohistochemistry (Paraffin)
BZ194
Unconjugated
PBS
CHEMERINR, chemokine receptor-like 1, chemokine-like receptor 1, CHEMR23, DEZ, G-protein coupled receptor ChemR23, G-protein coupled receptor DEZ, MGC126105, MGC126106, orphan G-protein coupled receptor, Dez
Partial synthetic peptide made to an N-terminal portion of the mouse ChemR23/CMKLR1 protein (amino acids 8-32) [UniProt P97468]
0.05 mg
GPCR, Immunology
1240
Store at 4°C. Do not freeze.
IgG2a κ
Product Suggestions

Product Suggestions

Videos
SDS
Documents

Documents

Certificates
Promotions

Promotions

Product Content Correction

Your input is important to us. Please complete this form to provide feedback related to the content on this product.

Product Title

By clicking Submit, you acknowledge that you may be contacted by Fisher Scientific in regards to the feedback you have provided in this form. We will not share your information for any other purposes. All contact information provided shall also be maintained in accordance with our Privacy Policy.

Thank You! Your feedback has been submitted. Fisher Scientific is always working to improve our content for you. We appreciate your feedback.