missing translation for 'onlineSavingsMsg'
Learn More

N-Acetylmannosamine Kinase/GNE Antibody - BSA Free, Novus Biologicals™

Rabbit Polyclonal Antibody

Brand:  Novus Biologicals NBP2-94770-0.02ml

 View more versions of this product

Product Code. 18668262

  • 190.00€ / 0.02mL

Please to purchase this item. Need a web account? Register with us today!

This item is not returnable. View return policy

Description

Description

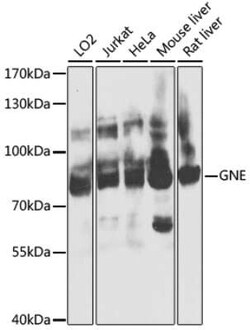
N-Acetylmannosamine Kinase/GNE Polyclonal antibody specifically detects N-Acetylmannosamine Kinase/GNE in Human, Mouse, Rat samples. It is validated for Western Blot, Immunohistochemistry, Immunohistochemistry (Paraffin)
TRUSTED_SUSTAINABILITY
Specifications

Specifications

N-Acetylmannosamine Kinase/GNE
Polyclonal
Western Blot 1:500-1:2000, Immunohistochemistry 1:50-1:100, Immunohistochemistry-Paraffin
bifunctional UDP-N-acetylglucosamine 2-epimerase/N-acetylmannosamine kinase, DMRV, GLCNENM, glucosamine (UDP-N-acetyl)-2-epimerase/N-acetylmannosamine kinase, IBM2, N-acylmannosamine kinase, Uae1, UDP-GlcNAc-2-epimerase/ManAc kinase, UDP-N-acetylglucosamine 2-epimerase/N-acetylmannosamine kinase, UDP-N-acetylglucosamine-2-epimerase/N-acetylmannosamine kinase
Recombinant fusion protein containing a sequence corresponding to amino acids 1-150 of human GNE (NP_001121699.1). METYGYLQRESCFQGPHELYFKNLSKRNKQIMEKNGNNRKLRVCVATCNRADYSKLAPIMFGIKTEPEFFELDVVVLGSHLIDDYGNTYRMIEQDDFDINTRLHTIVRGEDEAAMVESVGLALVKLPDVLNRLKPDIMIVHGDRFDALAL
0.02 mL
Cardiovascular Biology, Cell Biology, Signal Transduction
10020
Store at -20°C. Avoid freeze-thaw cycles.
IgG
Western Blot, Immunohistochemistry, Immunohistochemistry (Paraffin)
Unconjugated
PBS (pH 7.3), 50% glycerol
Rabbit
Affinity purified
RUO
Primary
Human, Mouse, Rat
Purified
Product Suggestions

Product Suggestions

Videos
SDS
Documents

Documents

Certificates
Promotions

Promotions

Product Content Correction

Your input is important to us. Please complete this form to provide feedback related to the content on this product.

Product Title

By clicking Submit, you acknowledge that you may be contacted by Fisher Scientific in regards to the feedback you have provided in this form. We will not share your information for any other purposes. All contact information provided shall also be maintained in accordance with our Privacy Policy.

Thank You! Your feedback has been submitted. Fisher Scientific is always working to improve our content for you. We appreciate your feedback.