missing translation for 'onlineSavingsMsg'
Learn More

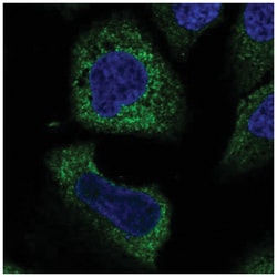
WISP3 Antibody, Novus Biologicals™

Rabbit Polyclonal Antibody

Brand:  Novus Biologicals NBP2-56060-25ul

305.15 EUR valid until 2025-12-16
BEST PRICE on Promo! Use promo code "24090" to get your promotional price.


 View more versions of this product

Product Code. 18640309

  • 369.00€ / 25µL

Please to purchase this item. Need a web account? Register with us today!

This item is not returnable. View return policy

Description

Description

WISP3 Polyclonal specifically detects WISP3 in Human samples. It is validated for Immunocytochemistry/Immunofluorescence.
TRUSTED_SUSTAINABILITY
Specifications

Specifications

WISP3
Polyclonal
Immunocytochemistry/Immunofluorescence 1 - 4 μg/mL
CCN family member 6, CCN6MGC125988, LIBC, MGC125987, MGC125989, PPAC, PPD, WISP-3, WNT1 inducible signaling pathway protein 3, WNT1-inducible-signaling pathway protein 3
Rabbit
Affinity Purified
RUO
8838
Human
IgG
Immunocytochemistry, Immunofluorescence
Unconjugated
PBS, pH 7.2, containing 40% glycerol with 0.02% Sodium Azide
CCN6
This antibody was developed against a recombinant protein corresponding to the following amino acid sequence:CQPTFQLSKAEKFVFSGCSSTQSYKPTFCGICLDKRCCIPNKSKMITIQFDCPNEGSFKWKMLWIT
25 μL
Primary
Specificity of antibody verified on a Protein Array containing target protein plus 383 other non-specific proteins.
Store at 4°C short term. Aliquot and store at -20°C long term. Avoid freeze/thaw cycles.
Product Suggestions

Product Suggestions

Videos
SDS
Documents

Documents

Certificates
Promotions

Promotions

Product Content Correction

Your input is important to us. Please complete this form to provide feedback related to the content on this product.

Product Title

By clicking Submit, you acknowledge that you may be contacted by Fisher Scientific in regards to the feedback you have provided in this form. We will not share your information for any other purposes. All contact information provided shall also be maintained in accordance with our Privacy Policy.

Thank You! Your feedback has been submitted. Fisher Scientific is always working to improve our content for you. We appreciate your feedback.

For Research Use Only