missing translation for 'onlineSavingsMsg'
Learn More

BLM Rabbit anti-Human, Polyclonal Antibody, Abnova™

Product Code. 16172800
Change view
Click to view available options
Quantity:
100 μg
Unit Size:
100µg
1 product options available for selection
Product selection table with 1 available options. Use arrow keys to navigate and Enter or Space to select.
Product Code. Quantity unitSize
16172800 100 μg 100µg
Use arrow keys to navigate between rows. Press Enter or Space to select a product option. 1 options available.
1 options
This item is not returnable. View return policy
Product Code. 16172800 Supplier Abnova Supplier No. PAB18272.100ug

Please to purchase this item. Need a web account? Register with us today!

This item is not returnable. View return policy

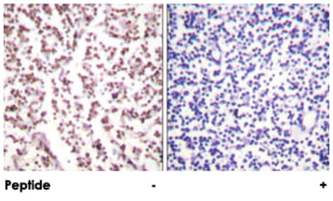
Rabbit polyclonal antibody raised against synthetic peptide of BLM.

The Bloom syndrome gene product is related to the RecQ subset of DExH box-containing DNA helicases and has both DNA-stimulated ATPase and ATP-dependent DNA helicase activities. Mutations causing Bloom syndrome delete or alter helicase motifs and may disable the 3'-5' helicase activity. The normal protein may act to suppress inappropriate recombination. [provided by RefSeq]

Specifications

Antigen BLM
Applications ELISA, Immunofluorescence, Immunohistochemistry (PFA fixed)
Classification Polyclonal
Concentration 1 mg/mL
Conjugate Unconjugated
Description Rabbit polyclonal antibody raised against synthetic peptide of BLM.
Dilution Immunohistochemistry (1:50-1:100) Immunofluorescence (1:500-1:1000) ELISA (1:5000) The optimal working dilution should be determined by the end user.
Formulation In PBS, 150mM NaCl, pH 7.4 (50% glycerol, 0.02% sodium azide)
Gene BLM
Gene Accession No. P54132
Gene Alias BS/MGC126616/MGC131618/MGC131620/RECQ2/RECQL2/RECQL3
Gene Symbols BLM
Host Species Rabbit
Immunogen A synthetic peptide corresponding to human BLM.
Purification Method Affinity purification
Quantity 100 μg
Regulatory Status RUO
Primary or Secondary Primary
Gene ID (Entrez) 641
Test Specificity This antibody is specific to BLM.
Target Species Human
Content And Storage Store at -20°C.
Aliquot to avoid repeated freezing and thawing.
Form Liquid
Show More Show Less

For Research Use Only

Product Title
Select an issue

By clicking Submit, you acknowledge that you may be contacted by Fisher Scientific in regards to the feedback you have provided in this form. We will not share your information for any other purposes. All contact information provided shall also be maintained in accordance with our Privacy Policy.