Learn More
Invitrogen™ TOMM20 Recombinant Rabbit Monoclonal Antibody (ST04-72)

Rabbit Recombinant Monoclonal Antibody
Brand: Invitrogen™ MA532148
Description
Recombinant rabbit monoclonal antibodies are produced using in vitro expression systems. The expression systems are developed by cloning in the specific antibody DNA sequences from immunoreactive rabbits. Then, individual clones are screened to select the best candidates for production. The advantages of using recombinant rabbit monoclonal antibodies include: better specificity and sensitivity, lot-to-lot consistency, animal origin-free formulations, and broader immunoreactivity to diverse targets due to larger rabbit immune repertoire.
The mitochondrial preprotein translocases of the outer membrane (Tom) is a multisubunit protein complex that facilitates the import of nucleus-encoded precursor proteins across the mitochondrial outer membrane. The Tom machinery consists of import receptors for the initial binding of cytosolically synthesized preproteins and a general import pore (GIP) for the membrane translocation of various preproteins into the mitochondria. The import receptors include Tom20 and Tom22, which form a heteromeric receptor complex that initiates the insertion of newly synthesized proteins into the outer membrane and then directs the precursor protein into the GIP. In yeast, Tom22 is the essential component of the import receptor complex as it functions as both a receptor for the preproteins and serves as a docking point for both Tom20 and the GIP.
Specifications
| TOMM20 | |
| Recombinant Monoclonal | |
| 1 mg/mL | |
| TBS with 0.05% BSA, 40% Glycerol and 0.05% sodium azide; pH 7.4 | |
| Q15388, Q62760, Q9DCC8 | |
| TOMM20 | |
| Recombinant protein within Human TOMM20 aa 1-145. | |
| 100 μL | |
| Primary | |
| Human, Mouse, Rat | |
| Antibody | |
| IgG |
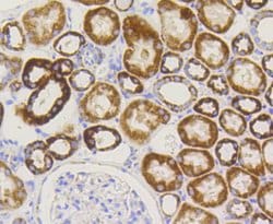
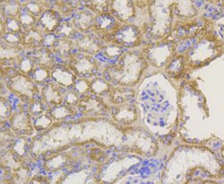
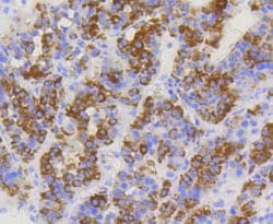
| Flow Cytometry, Immunohistochemistry (Paraffin), Western Blot, Immunocytochemistry, Western Blot | |
| ST04-72 | |
| Unconjugated | |
| TOMM20 | |
| 1810060K07Rik; BB284719; Gm19268; KIAA0016; MAS20; mitochondrial 20 kDa outer membrane protein; Mitochondrial import receptor subunit TOM20 homolog; mKIAA0016; MOM19; outer mitochondrial membrane receptor rTOM20; outer mitochondrial membrane receptor Tom20; TOM20; TOMM20; translocase of outer mitochondrial membrane 20; translocase of outer mitochondrial membrane 20 homolog (yeast); translocase of outer mitochondrial membrane 20 homolog type II | |
| Rabbit | |
| Protein A | |
| RUO | |
| 266601, 67952, 9804 | |
| Store at 4°C short term. For long term storage, store at -20°C, avoiding freeze/thaw cycles. | |
| Liquid |
Your input is important to us. Please complete this form to provide feedback related to the content on this product.