missing translation for 'onlineSavingsMsg'
Learn More

Siglec-11 Antibody - BSA Free, Novus Biologicals™

Rabbit Polyclonal Antibody

Brand:  Novus Biologicals NBP1-77025-0.025mg

 View more versions of this product

Product Code. 18762964

  • 178.00€ / 0.03mg

Please to purchase this item. Need a web account? Register with us today!

This item is not returnable. View return policy

Description

Description

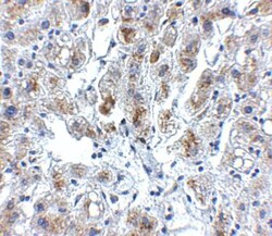
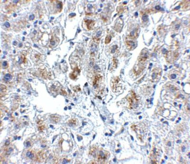
Siglec-11 Polyclonal specifically detects Siglec-11 in Human samples. It is validated for Western Blot, ELISA, Immunohistochemistry, Immunocytochemistry/Immunofluorescence, Immunohistochemistry-Paraffin.
TRUSTED_SUSTAINABILITY
Specifications

Specifications

Siglec-11
Polyclonal
Unconjugated
PBS with 0.02% Sodium Azide
sialic acid binding Ig-like lectin 11, sialic acid-binding Ig-like lectin 11, Sialic acid-binding lectin 11, siglec-11
Rabbit
Affinity Purified
RUO
114132
Store at 4°C short term. Aliquot and store at -20°C long term. Avoid freeze-thaw cycles.
Western Blot, ELISA, Immunohistochemistry, Immunocytochemistry, Immunofluorescence, Immunohistochemistry (Paraffin)
1 mg/mL
Western Blot 1 μg/mL, ELISA 1:100-1:2000, Immunohistochemistry 5 μg/mL, Immunocytochemistry/Immunofluorescence 20 μg/mL, Immunohistochemistry-Paraffin 5 μg/mL
NP_443116
SIGLEC11
Antibody was raised against an 18 amino acid synthetic peptide from near the carboxy terminus of human Siglec11. The immunogen is located within the last 50 amino acids of Siglec11. Amino Acid Squence: WEPADQEAPSTTEYSEIK
0.025 mg
Primary
Human
IgG
Product Suggestions

Product Suggestions

Videos
SDS
Documents

Documents

Certificates
Promotions

Promotions

Product Content Correction

Your input is important to us. Please complete this form to provide feedback related to the content on this product.

Product Title

By clicking Submit, you acknowledge that you may be contacted by Fisher Scientific in regards to the feedback you have provided in this form. We will not share your information for any other purposes. All contact information provided shall also be maintained in accordance with our Privacy Policy.

Thank You! Your feedback has been submitted. Fisher Scientific is always working to improve our content for you. We appreciate your feedback.

For Research Use Only