missing translation for 'onlineSavingsMsg'
Learn More

RRM1 Rabbit anti-Human, Mouse, Non-human primate, Rat, Polyclonal, Proteintech

Rabbit Polyclonal Antibody

Brand:  Proteintech 10526-1-AP-150UL

 View more versions of this product

Product Code. 16846963

  • 410.00€ / 150µL

Please to purchase this item. Need a web account? Register with us today!

This item is not returnable. View return policy

Description

Description

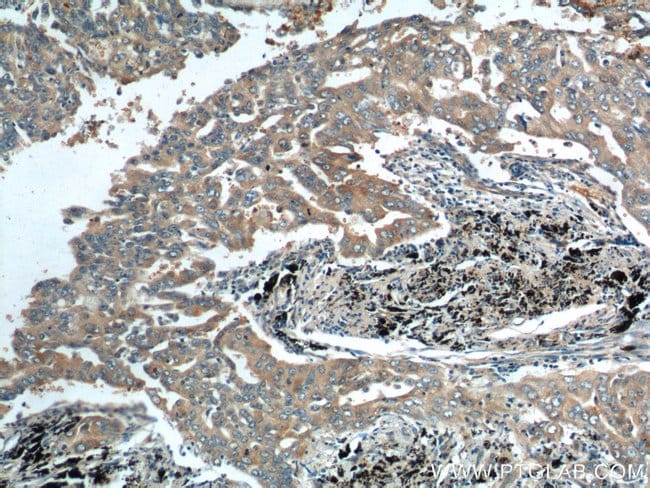
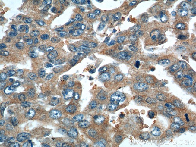
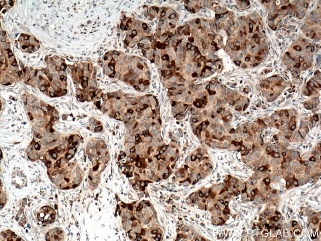
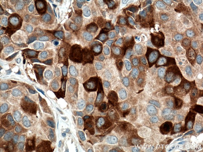
RRM1 (Ribonucleotide reductase M1 polypeptide) is one of two non-identical subunits that constitute ribonucleoside-diphosphate reductase, an enzyme which catalyzes the biosynthesis of deoxyribonucleotides from the corresponding ribonucleotides. It provides the precursors necessary for DNA synthesis. RRM1 is involved in carcinogenesis, tumor progression.
Specifications

Specifications

RRM1
Polyclonal
Unconjugated
RRM1
R1, ribonucleotide reductase M1, RIR1, RR1, RRM1
Rabbit
Antigen Affinity Chromatography
RUO
20133, 6240, 685579
-20°C
Liquid
Flow Cytometry, Immunocytochemistry, Immunofluorescence, Immunohistochemistry (Paraffin), Immunoprecipitation
0.22 mg/mL
PBS with 50% glycerol and 0.1% sodium azide; pH 7.3
P07742, P23921
RRM1
RRM1 Fusion Protein Ag0789
150 μL
Primary
Human, Mouse, Non-human Primate, Rat
Antibody
IgG
Product Suggestions

Product Suggestions

Videos
SDS
Documents

Documents

Certificates
Promotions

Promotions

Product Content Correction

Your input is important to us. Please complete this form to provide feedback related to the content on this product.

Product Title

By clicking Submit, you acknowledge that you may be contacted by Fisher Scientific in regards to the feedback you have provided in this form. We will not share your information for any other purposes. All contact information provided shall also be maintained in accordance with our Privacy Policy.

Thank You! Your feedback has been submitted. Fisher Scientific is always working to improve our content for you. We appreciate your feedback.