missing translation for 'onlineSavingsMsg'
Learn More

RPS6KA6, Mouse anti-Human, Clone: 8H5, Abnova™

Mouse Monoclonal Antibody

Brand:  Abnova H00027330-M03.100ug

Product Code. 16165876

  • 349.00€ / 100µg

Please to purchase this item. Need a web account? Register with us today!

This item is not returnable. View return policy

Description

Description

Sequence: RIGNGKFSLSGGNWDNISDGAKDLLSHMLHMDPHQRYTAEQILKHSWITHRDQLPNDQPKRNDVSHVVKGAMVATYSALTHKTFQPVLEPVAASSLAQRRSMKKRTSTGL
Specifications

Specifications

RPS6KA6
Monoclonal
Unconjugated
ribosomal protein S6 kinase, 90kDa, polypeptide 6
RSK4
Mouse
100 μg
Primary
Human, Rat
Antibody
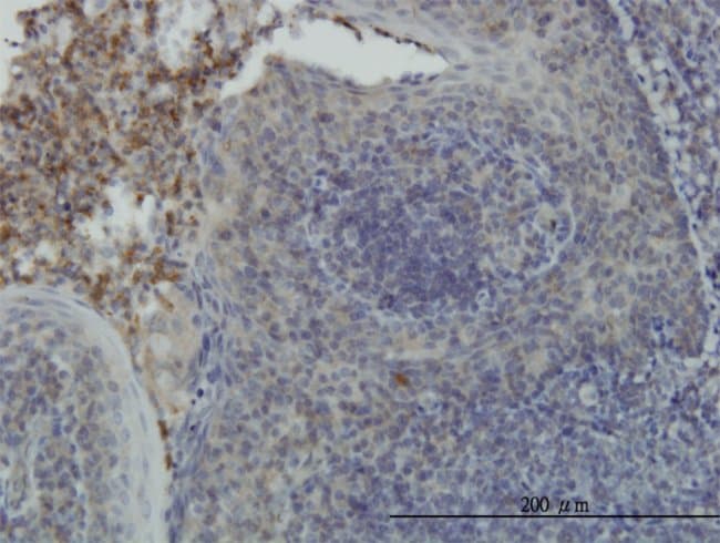
ELISA, Immunohistochemistry (Paraffin), Western Blot
8H5
In 1x PBS, pH 7.4
NM_014496
RPS6KA6
RPS6KA6 (NP_055311.1, 636 a.a. ∼ 745 a.a) partial recombinant protein with GST tag. MW of the GST tag alone is 26 KDa.
RUO
27330
Store at -20°C or lower. Aliquot to avoid repeated freezing and thawing.
IgG2a κ
Product Suggestions

Product Suggestions

Videos
SDS
Documents

Documents

Certificates
Promotions

Promotions

Product Content Correction

Your input is important to us. Please complete this form to provide feedback related to the content on this product.

Product Title

By clicking Submit, you acknowledge that you may be contacted by Fisher Scientific in regards to the feedback you have provided in this form. We will not share your information for any other purposes. All contact information provided shall also be maintained in accordance with our Privacy Policy.

Thank You! Your feedback has been submitted. Fisher Scientific is always working to improve our content for you. We appreciate your feedback.