missing translation for 'onlineSavingsMsg'
Learn More

ROR2 Antibody (CL5950) - Azide and BSA Free, Novus Biologicals™

Mouse Monoclonal Antibody

Marca:  Novus Biologicals NBP3-44186

Código de producto. 30287775

  • 604.00€ / 100µL

Please to purchase this item. Need a web account? Register with us today!

Este artículo no se puede devolver. Vea la política de devoluciones

Descripción

Descripción

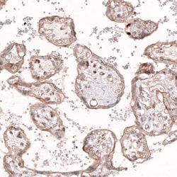
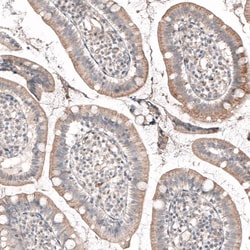
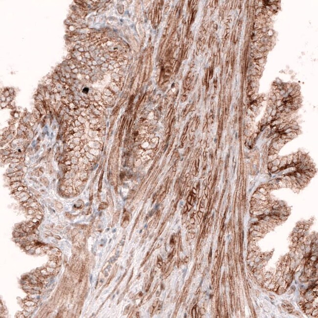
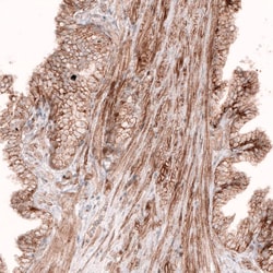
ROR2 Monoclonal antibody specifically detects ROR2 in Human samples. It is validated for Immunohistochemistry (Paraffin),Immunocytochemistry/ Immunofluorescence,Immunohistochemistry
TRUSTED_SUSTAINABILITY
Especificaciones

Especificaciones

ROR2
Monoclonal
LYOPH
Immunocytochemistry/ Immunofluorescence 2-10 μg/mL, Immunohistochemistry-Paraffin 1:500 - 1:1000
BDB, BDB1, EC 2.7.10.1, MGC163394, neurotrophic tyrosine kinase receptor-related 2, Neurotrophic tyrosine kinase, receptor-related 2, NTRKR2tyrosine-protein kinase transmembrane receptor ROR2, receptor tyrosine kinase-like orphan receptor 2
This antibody was generated using a synthetic peptide of Q01974, with the exact immunogen sequence remaining proprietary.
100 μL
Protein Kinase, Wnt Signaling Pathway
4920
Human
Purified
Immunohistochemistry (Paraffin), Immunocytochemistry/Immunofluorescence, Immunohistochemistry
CL5950
Unconjugated
Lyophilized in 5% Trehalose.
Mouse
Protein A purified
RUO
Primary
Centrifuge the vial of lyophilized antibody at 12,000 x g for 20 seconds. Reconstitute by adding sterile, distilled water to achieve a final antibody concentration of 1mg/mL.
Store at 4⪚C short term. Aliquot and store at -20⪚C long term. Avoid freeze-thaw cycles.
IgG1
Sugerencias de productos

Sugerencias de productos

Videos
SDS
Documentos

Documentos

Certificados
Promociones

Promociones

Corrección del contenido de un producto

Proporcione sus comentarios sobre el contenido del producto rellenando el siguiente formulario.

Título del producto

Al hacer clic en Enviar, acepta que Fisher Scientific se ponga en contacto con usted en relación con los comentarios que ha proporcionado en este formulario. No compartiremos su información para ningún otro fin. Toda la información de contacto proporcionada se mantendrá de acuerdo con nuestra Política de Privacidad. Política de privacidad.

Gracias por ayudarnos a mejorar nuestra web. Su comentario ha sido enviado