missing translation for 'onlineSavingsMsg'
Learn More

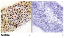
KAT5 Rabbit anti-Human, Mouse, Polyclonal Antibody, Abnova™

Rabbit polyclonal antibody raised against synthetic peptide of KAT5.

Brand:  Abnova PAB18305.100ug

Product Code. 16142820

  • 406.00€ / 100µg

Please to purchase this item. Need a web account? Register with us today!

This item is not returnable. View return policy

Description

Description

The protein encoded by this gene belongs to the MYST family of histone acetyl transferases (HATs) and was originally isolated as an HIV-1 TAT-interactive protein. HATs play important roles in regulating chromatin remodeling, transcription and other nuclear processes by acetylating histone and nonhistone proteins. This protein is a histone acetylase that has a role in DNA repair and apoptosis and is thought to play an important role in signal transduction. Alternative splicing of this gene results in multiple transcript variants. [provided by RefSeq

Specifications

Specifications

KAT5
Polyclonal
Unconjugated
Immunohistochemistry (1:50-1:100) Immunofluorescence (1:500-1:1000) ELISA (1:5000) The optimal working dilution should be determined by the end user.
KAT5
KAT5
A synthetic peptide corresponding to human KAT5.
100 μg
Primary
This antibody is specific to KAT5.
Store at -20°C.
Aliquot to avoid repeated freezing and thawing.
ELISA, Immunofluorescence, Immunohistochemistry (PFA fixed)
1 mg/mL
Rabbit polyclonal antibody raised against synthetic peptide of KAT5.
In PBS, 150mM NaCl, pH 7.4 (50% glycerol, 0.02% sodium azide)
ESA1/HTATIP/HTATIP1/PLIP/TIP/TIP60/cPLA2
Rabbit
Affinity purification
RUO
10524
Human, Mouse
Liquid
Product Suggestions

Product Suggestions

Videos
SDS
Documents

Documents

Certificates
Promotions

Promotions

Product Content Correction

Your input is important to us. Please complete this form to provide feedback related to the content on this product.

Product Title

By clicking Submit, you acknowledge that you may be contacted by Fisher Scientific in regards to the feedback you have provided in this form. We will not share your information for any other purposes. All contact information provided shall also be maintained in accordance with our Privacy Policy.

Thank You! Your feedback has been submitted. Fisher Scientific is always working to improve our content for you. We appreciate your feedback.

For Research Use Only