missing translation for 'onlineSavingsMsg'
Learn More

DNAL4, Rabbit, Polyclonal Antibody, Abnova™

Product Code. 16152480
Change view
Click to view available options
Quantity:
100 μg
Unit Size:
100µg
1 product options available for selection
Product selection table with 1 available options. Use arrow keys to navigate and Enter or Space to select.
Product Code. Quantity unitSize
16152480 100 μg 100µg
Use arrow keys to navigate between rows. Press Enter or Space to select a product option. 1 options available.
1 options
This item is not returnable. View return policy
Product Code. 16152480 Supplier Abnova Supplier No. PAB17701.100ug

Please to purchase this item. Need a web account? Register with us today!

This item is not returnable. View return policy

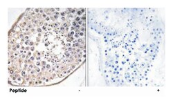
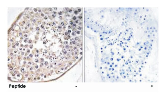
Rabbit polyclonal antibody raised against synthetic peptide of DNAL4.

DNAL4 is a component of the dynein motor complex (Iwasaki et al., 2005 [PubMed 15454493]).[supplied by OMIM

Specifications

Antigen DNAL4
Applications ELISA, Immunohistochemistry (PFA fixed)
Classification Polyclonal
Conjugate Unconjugated
Description Rabbit polyclonal antibody raised against synthetic peptide of DNAL4.
Dilution Immunohistochemistry (1:50-1:100) ELISA (1:40000) The optimal working dilution should be determined by the end user.
Formulation In PBS, pH 7.4 (150mM NaCl, 0.02% sodium azide, 50% glycerol)
Gene DNAL4
Gene Accession No. O96015
Gene Alias PIG27
Gene Symbols DNAL4
Host Species Rabbit
Immunogen A synthetic peptide corresponding to N-terminus of human DNAL4.
Quantity 100 μg
Regulatory Status RUO
Primary or Secondary Primary
Gene ID (Entrez) 10126
Test Specificity This antibody detects endogenous levels of total DNAL4 protein.
Target Species Human, Mouse
Content And Storage Store at -20°C.
Aliquot to avoid repeated freezing and thawing.
Form Liquid
Show More Show Less

For Research Use Only

Product Title
Select an issue

By clicking Submit, you acknowledge that you may be contacted by Fisher Scientific in regards to the feedback you have provided in this form. We will not share your information for any other purposes. All contact information provided shall also be maintained in accordance with our Privacy Policy.