missing translation for 'onlineSavingsMsg'
Learn More

CASP14 Rabbit anti-Dog, Gerbils, Human, Mouse, Rat, Polyclonal Antibody, Abnova™

Product Code. 16058656
Change view
Click to view available options
Quantity:
50 μL
Unit Size:
50µL
1 product options available for selection
Product selection table with 1 available options. Use arrow keys to navigate and Enter or Space to select.
Product Code. Quantity unitSize
16058656 50 μL 50µL
Use arrow keys to navigate between rows. Press Enter or Space to select a product option. 1 options available.
1 options
This item is not returnable. View return policy
Product Code. 16058656 Supplier Abnova Supplier No. PAB0250.50uL

Please to purchase this item. Need a web account? Register with us today!

This item is not returnable. View return policy

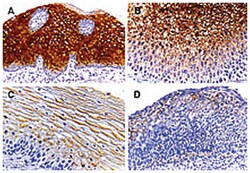
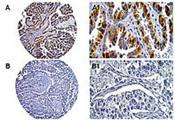
Rabbit polyclonal antibody raised against full-length recombinant CASP14.

This gene encodes a member of the cysteine-aspartic acid protease (caspase) family. Sequential activation of caspases plays a central role in the execution-phase of cell apoptosis. Caspases exist as inactive proenzymes which undergo proteolytic processing at conserved aspartic residues to produce two subunits, large and small, that dimerize to form the active enzyme. This caspase has been shown to be processed and activated by caspase 8 and caspase 10 in vitro, and by anti-Fas agonist antibody or TNF-related apoptosis inducing ligand in vivo. The expression and processing of this caspase may be involved in keratinocyte terminal differentiation, which is important for the formation of the skin barrier. [provided by RefSeq

Specifications

Antigen CASP14
Applications Immunohistochemistry (PFA fixed), Immunoprecipitation, Western Blot
Classification Polyclonal
Conjugate Unconjugated
Description Rabbit polyclonal antibody raised against full length recombinant CASP14.
Dilution The optimal working dilution should be determined by the end user.
Formulation In serum (0.05% sodium azide)
Gene CASP14
Gene Alias MGC119078/MGC119079
Gene Symbols CASP14
Host Species Rabbit
Immunogen Recombinant protein corresponding to full length human CASP14.
Quantity 50 μL
Regulatory Status RUO
Primary or Secondary Primary
Gene ID (Entrez) 23581
Target Species Canine, Gerbil, Human, Mouse, Rat
Content And Storage Store at -20°C.
Aliquot to avoid repeated freezing and thawing.
Form Liquid
Show More Show Less

For Research Use Only

Product Title
Select an issue

By clicking Submit, you acknowledge that you may be contacted by Fisher Scientific in regards to the feedback you have provided in this form. We will not share your information for any other purposes. All contact information provided shall also be maintained in accordance with our Privacy Policy.