missing translation for 'onlineSavingsMsg'
Learn More

Phospho-CREB1 (Ser133) Rabbit Polyclonal Antibody, Proteintech

Rabbit Polyclonal Antibody

Brand:  Proteintech 28792-1-AP-20UL

 View more versions of this product

Product Code. 30235989

  • ONLINE EXCLUSIVE PRICE
    135.00€
    119.00€ / 20µL
    Save 16.00€
    11% Off

Please to purchase this item. Need a web account? Register with us today!

This item is not returnable. View return policy

Description

Description

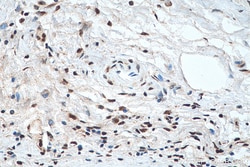
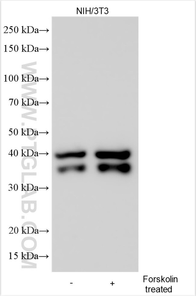
The Phospho-CREB1 (Ser133) antibody from Proteintech is a rabbit polyclonal antibody generated with peptide of human Phospho-CREB1 (Ser133). This antibody recognizes human, mouse, rat antigen. The Phospho-CREB1 (Ser133) antibody has been validated for the following applications: WB, IHC, ELISA analysis.
Specifications

Specifications

CREB1 (Ser133)
Polyclonal
Unconjugated
Rabbit
Antigen affinity purification
RUO
1385
Store at -20°C. Stable for one year after shipment.
Polyclonal Antibody
IgG
Western Blot, Immunohistochemistry, ELISA
350 μg/mL
CREB; MGC9284
Peptide
20 μL
Primary
Human, Mouse, Rat
35-46 kDa
Liquid
Product Suggestions

Product Suggestions

Videos
SDS
Documents

Documents

Certificates
Promotions

Promotions

Product Content Correction

Your input is important to us. Please complete this form to provide feedback related to the content on this product.

Product Title

By clicking Submit, you acknowledge that you may be contacted by Fisher Scientific in regards to the feedback you have provided in this form. We will not share your information for any other purposes. All contact information provided shall also be maintained in accordance with our Privacy Policy.

Thank You! Your feedback has been submitted. Fisher Scientific is always working to improve our content for you. We appreciate your feedback.