missing translation for 'onlineSavingsMsg'
Learn More

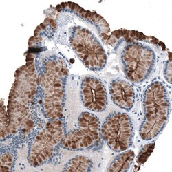
MUC1 Antibody (CL8733) - Azide and BSA Free, Novus Biologicals™

Mouse Monoclonal Antibody

Brand:  Novus Biologicals NBP3-43891

Product Code. 30291172

  • 561.00€ / 100µL

Please to purchase this item. Need a web account? Register with us today!

This item is not returnable. View return policy

Description

Description

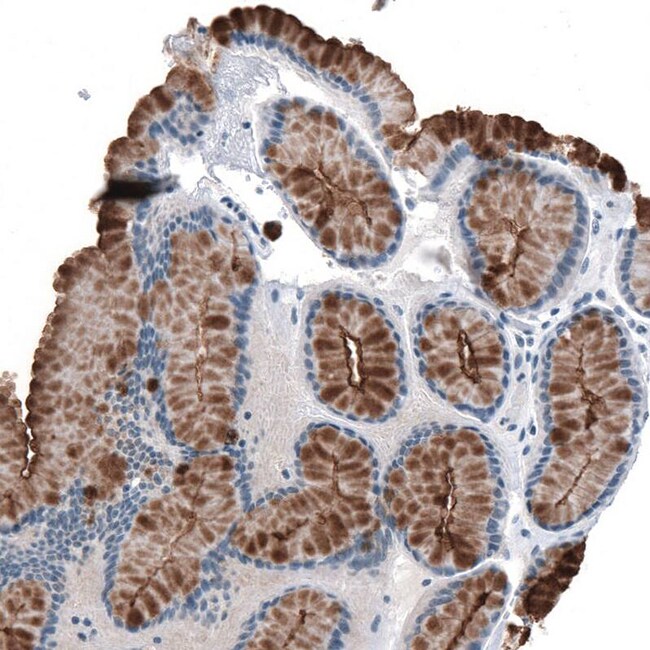
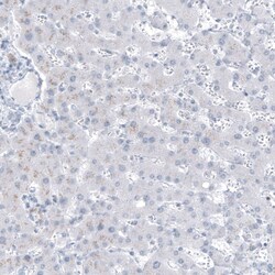
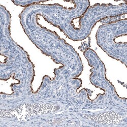
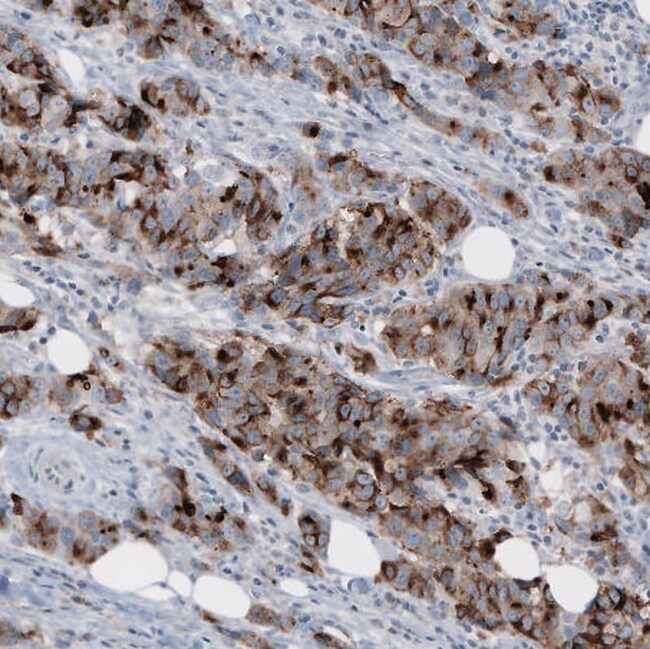
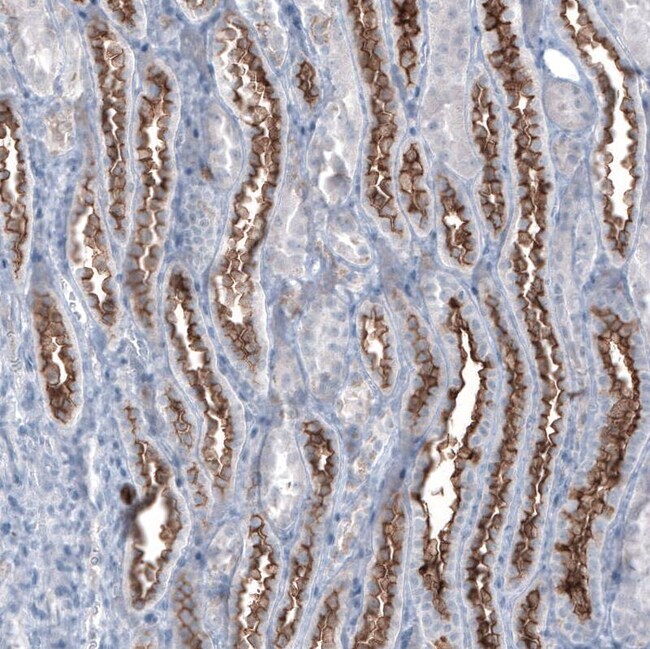
MUC1 Monoclonal antibody specifically detects MUC1 in Human samples. It is validated for Immunohistochemistry (Paraffin),Immunohistochemistry
TRUSTED_SUSTAINABILITY
Specifications

Specifications

MUC1
Monoclonal
LYOPH
Immunohistochemistry-Paraffin 1:50 - 1:200
Breast carcinoma-associated antigen DF3, Carcinoma-associated mucin, CD227, CD227 antigen, DF3 antigen, EMA, episialin, H23 antigen, H23AG, KL-6, MAM6, MUC-1, MUC1/ZD, mucin 1, cell surface associated, mucin 1, transmembrane, mucin-1, Peanut-reactive urinary mucin, PEMMUC-1/SEC, PEMT, Polymorphic epithelial mucin, PUMMUC-1/X, tumor associated epithelial mucin, Tumor-associated epithelial membrane antigen, Tumor-associated mucin
This antibody was generated using a recombinant protein sequence of P15941, with the exact immunogen sequence remaining proprietary.
100 μL
Cancer, Cellular Markers, Extracellular Matrix, Inflammation, Signal Transduction
4582
Human
Purified
Immunohistochemistry (Paraffin), Immunohistochemistry
CL8733
Unconjugated
Lyophilized in 5% Trehalose.
Mouse
Protein A purified
RUO
Primary
Centrifuge the vial of lyophilized antibody at 12,000 x g for 20 seconds. Reconstitute by adding sterile, distilled water to achieve a final antibody concentration of 1mg/mL.
Store at 4⪚C short term. Aliquot and store at -20⪚C long term. Avoid freeze-thaw cycles.
IgG1
Product Suggestions

Product Suggestions

Videos
SDS
Documents

Documents

Certificates
Promotions

Promotions

Product Content Correction

Your input is important to us. Please complete this form to provide feedback related to the content on this product.

Product Title

Ved at klikke på Send, anerkender du, at du kan blive kontaktet af Fisher Scientific med hensyn til den feedback, du har givet i denne formular. Vi deler ikke dine oplysninger til andre formål. Alle angivne kontaktoplysninger skal også vedligeholdes i overensstemmelse med vores Privatlivspolitik.

Mange tak! Din feedback er blevet sendt. Hos Fisher Scientific arbejder vi altid på at forbedre vores indhold for dig. Vi sætter pris på din feedback.