missing translation for 'onlineSavingsMsg'
Learn More

MSH6 Antibody (rMSH6/8337), Novus Biologicals™

Mouse Monoclonal Antibody

Brand:  Novus Biologicals NBP3-23749-20ug

 View more versions of this product

Product Code. 18677944

  • 232.00€ / 20µg

Please to purchase this item. Need a web account? Register with us today!

This item is not returnable. View return policy

Description

Description

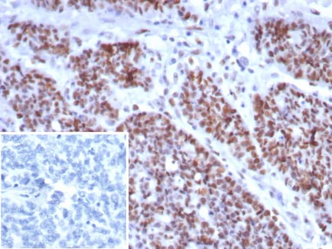
MSH6 Monoclonal antibody specifically detects MSH6 in Human samples. It is validated for Immunohistochemistry (Paraffin)
TRUSTED_SUSTAINABILITY
Specifications

Specifications

MSH6
Monoclonal
0.2 mg/mL
Immunohistochemistry-Paraffin : 1-2 μg/mL
DNA mismatch repair protein Msh6, G/T mismatch-binding protein, GTBPHNPCC5, GTMBP, hMSH6, HSAP, mutS (E. coli) homolog 6, mutS homolog 6 (E. coli), MutS-alpha 160 kDa subunit, p160, sperm-associated protein
Recombinant fragment of human MSH6 protein (around aa 1-200) (exact sequence is proprietary)
20 μg
Breast Cancer, Cancer, DNA Repair, Mismatch Repair
2956
Store at 4°C.
IgG1 κ
Immunohistochemistry (Paraffin)
rMSH6/8337
Unconjugated
10 mM PBS with 0.05% BSA
Mouse
Protein A or G purified
RUO
Primary
Human
Purified
Product Suggestions

Product Suggestions

Videos
SDS
Documents

Documents

Certificates
Promotions

Promotions

Product Content Correction

Your input is important to us. Please complete this form to provide feedback related to the content on this product.

Product Title

By clicking Submit, you acknowledge that you may be contacted by Fisher Scientific in regards to the feedback you have provided in this form. We will not share your information for any other purposes. All contact information provided shall also be maintained in accordance with our Privacy Policy.

Thank You! Your feedback has been submitted. Fisher Scientific is always working to improve our content for you. We appreciate your feedback.