missing translation for 'onlineSavingsMsg'
Learn More
Learn More
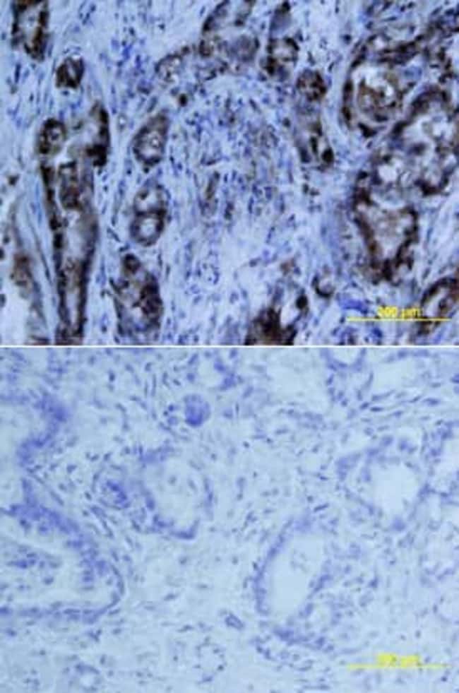
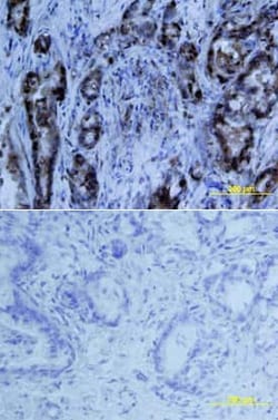
Invitrogen™ MIA Monoclonal Antibody (294203)

Mouse Monoclonal Antibody
Brand: Invitrogen™ MA561087
This item is not returnable.
View return policy
Description
Reconstitute at 0.5 mg/mL in sterile PBS.
Tumorigenesis is a process that is mediated by a network of membrane, cytosolic and nuclear associated factors, which regulate proliferation and cell-matrix interaction through signaling cascades. The phenotype of malignant melanomas in vivo depends on the global expression of stimulatory or inhibitory factors generated in both the tumors cells and their environment. One example, Melanoma inhibitory activity (cartilage-derived retinoic acid-sensitive protein (CD-RAP), MIA) is a Src homology 3 (SH3)-like domain containing protein that is secreted from chondrocytes and malignant melanoma cells. MIA is translated as a 131-amino acid pro-form and processed into a mature 107-amino acid protein after cleavage of a secretion signal. MIA is expressed during chondrogenesis and in mature chondrocytes, suggesting that MIA is necessary for normal cartilage cell phenotype. MIA mRNA is present in carcinomas of the colon, ovary, kidney, and head/neck, and may represent a marker to monitor melanomic activity.
Specifications
| MIA | |
| Monoclonal | |
| 0.5 mg/mL | |
| PBS with trehalose and no preservative | |
| Q16674 | |
| MIA | |
| E. coli-derived recombinant human MIA, Gly25-Gln131. | |
| 100 μg | |
| Primary | |
| Human | |
| Antibody | |
| IgG2b |
| Immunohistochemistry (Paraffin) | |
| 294203 | |
| Unconjugated | |
| MIA | |
| cartilage derived retinoic acid sensitive protein; cartilage-derived retinoic acid-sensitive protein; Cdrap; CD-RAP; melanoma inhibitory activity; melanoma inhibitory activity 1; melanoma inhibitory activity protein; melanoma inhibitory activity/condrocyte-derived retinoic acid sensitive protein homolog (MIA/CD-RAP); melanoma-derived growth regulatory protein; melanoma-inhibitory-activity; MIA; Mia1 | |
| Mouse | |
| Protein A/G | |
| RUO | |
| 8190 | |
| Store at 4°C short term. For long term storage, store at -20°C, avoiding freeze/thaw cycles. | |
| Lyophilized |
Product Content Correction
Your input is important to us. Please complete this form to provide feedback related to the content on this product.
Product Title
Spot an opportunity for improvement?Share a Content Correction