missing translation for 'onlineSavingsMsg'
Learn More

Laminin S/Laminin beta 2 Antibody (CL2979), Novus Biologicals™

Mouse Monoclonal Antibody

Brand:  Novus Biologicals NBP2-42387-25ul

 View more versions of this product

Product Code. 18623129

  • 369.00€ / 25µL

Please to purchase this item. Need a web account? Register with us today!

This item is not returnable. View return policy

Description

Description

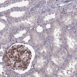
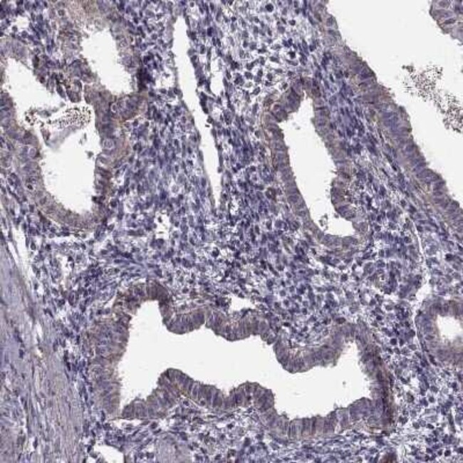
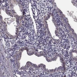
Laminin S/Laminin beta 2 Monoclonal antibody specifically detects Laminin S/Laminin beta 2 in Human samples. It is validated for Western Blot, Immunohistochemistry, Immunohistochemistry (Paraffin)
TRUSTED_SUSTAINABILITY
Specifications

Specifications

Laminin S/Laminin beta 2
Monoclonal
Unconjugated
PBS (pH 7.2), 40% Glycerol
Laminin B1s chain, laminin S, laminin subunit beta-2, laminin, beta 2 (laminin S), Laminin-11 subunit beta, Laminin-14 subunit beta, Laminin-15 subunit beta, Laminin-3 subunit beta, Laminin-4 subunit beta, Laminin-7 subunit beta, LAMSLaminin-9 subunit beta, S-LAM beta, S-laminin subunit beta
This antibody was developed against Recombinant Protein corresponding to amino acids: DLTDVQDENFNANHALSGLERDRLALNLTLRQLDQHLDLLKHSNFLGAYDSIRHAHSQSAEAERRANTSALAVPSPVSNSASARHRTEALMDAQKEDFNSKHMANQRALGKLSAHTHTLSLTDINELVCGAPG
25 μL
Primary
Human
Purified
Western Blot, Immunohistochemistry, Immunohistochemistry (Paraffin)
CL2979
Western Blot 1 μg/mL, Immunohistochemistry 1:2500 - 1:5000, Immunohistochemistry-Paraffin 1:2500 - 1:5000
P55268
Mouse
Protein A purified
RUO
3913
Store at 4°C short term. Aliquot and store at -20°C long term. Avoid freeze-thaw cycles.
IgG2a
Product Suggestions

Product Suggestions

Videos
SDS
Documents

Documents

Certificates
Promotions

Promotions

Product Content Correction

Your input is important to us. Please complete this form to provide feedback related to the content on this product.

Product Title

By clicking Submit, you acknowledge that you may be contacted by Fisher Scientific in regards to the feedback you have provided in this form. We will not share your information for any other purposes. All contact information provided shall also be maintained in accordance with our Privacy Policy.

Thank You! Your feedback has been submitted. Fisher Scientific is always working to improve our content for you. We appreciate your feedback.