missing translation for 'onlineSavingsMsg'
Learn More

HIF-1 alpha Antibody (HA111) - BSA Free, Novus Biologicals™

Mouse Monoclonal Antibody

Brand:  Novus Biologicals NB100-296

 View more versions of this product

Product Code. 18528750

  • 482.00€ / 0.10mL

Please to purchase this item. Need a web account? Register with us today!

This item is not returnable. View return policy

Description

Description

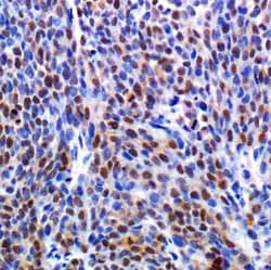
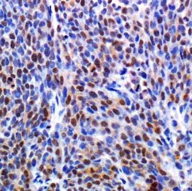
HIF-1 alpha Monoclonal antibody specifically detects HIF-1 alpha in Human, Mouse, Rabbit samples. It is validated for Western Blot, Immunohistochemistry, Immunoprecipitation, Immunohistochemistry (Paraffin)
TRUSTED_SUSTAINABILITY
Specifications

Specifications

HIF-1 alpha
Monoclonal
1.0 mg/mL
Western Blot 0.5 - 2.0 μg/mL, Immunohistochemistry 1:100, Immunoprecipitation 1:10 - 1:500. Use reported in scientific literature (PMID 18222538), Immunohistochemistry-Paraffin 1:100
AINT, anti-HIF-1 alpha, anti-HIF1A, ARNT interacting protein, ARNT-interacting protein, Basic-helix-loop-helix-PAS protein MOP1, BHLHE78, Class E basic helix-loop-helix protein 78, HIF1, HIF-1 alpha, HIF1A, HIF-1A, HIF-1alpha, HIF-1-alpha, HIF1-alpha, hypoxia inducible factor 1 alpha subunit, hypoxia inducible factor 1 subunit alpha, hypoxia inducible factor 1, alpha subunit (basic helix-loop-helix transcription factor), hypoxia-inducible factor 1-alpha, Member of PAS protein 1, member of PAS superfamily 1, MOP1, PAS domain-containing protein 8, PASD8
This HIF-1 alpha Antibody (HA111) was developed against Human HIF-1 alpha, corresponding to amino acids 329 - 530 [Uniprot# Q16665].
0.1 mL
Adaptive Immunity, Angiogenesis, Autophagy, Cancer, Cardiovascular Biology, Cellular Markers, Chromatin Research, Cytokine Research, Hypoxia, Hypoxia Inducible Factors (HIF), Hypoxia Signaling, Immunology, Inflammation, Innate Immunity, Lipid and Metabolism, mTOR Pathway, Signal Transduction, Transcription Factors and Regulators
3091
Store at 4°C short term. Aliquot and store at -20°C long term. Avoid freeze-thaw cycles.
IgG2 α
Western Blot, Immunohistochemistry, Immunoprecipitation, Immunohistochemistry (Paraffin)
HA111
Unconjugated
PBS
Mouse
Protein G purified
RUO
Primary
Human, Mouse, Rabbit
Purified
Product Suggestions

Product Suggestions

Videos
SDS
Documents

Documents

Certificates
Promotions

Promotions

Product Content Correction

Your input is important to us. Please complete this form to provide feedback related to the content on this product.

Product Title

By clicking Submit, you acknowledge that you may be contacted by Fisher Scientific in regards to the feedback you have provided in this form. We will not share your information for any other purposes. All contact information provided shall also be maintained in accordance with our Privacy Policy.

Thank You! Your feedback has been submitted. Fisher Scientific is always working to improve our content for you. We appreciate your feedback.