missing translation for 'onlineSavingsMsg'
Learn More

HERPUD1 Mouse anti-Human, Rat, Clone: OTI1A2, lyophilized, TrueMAB™

Mouse Monoclonal Antibody

Brand:  Origene Technologies CF507019

Encompass_Preferred

Product Code. 17665581

  • 726.00€ / 100µg

Please to purchase this item. Need a web account? Register with us today!

This item is not returnable. View return policy

Description

Description

Reconstitute with PBS (pH 7.3) and recommend to perform another round of desalting process using Product No. 7KMWCO

The accumulation of unfolded proteins in the endoplasmic reticulum (ER) triggers the ER stress response. This response includes the inhibition of translation to prevent further accumulation of unfolded proteins, the increased expression of proteins involved in polypeptide folding, known as the unfolded protein response (UPR), and the destruction of misfolded proteins by the ER-associated protein degradation (ERAD) system. This gene may play a role in both UPR and ERAD. Its expression is induced by UPR and it has an ER stress response element in its promoter region while the encoded protein has an N-terminal ubiquitin-like domain which may interact with the ERAD system. This protein has been shown to interact with presenilin proteins and to increase the level of amyloid-beta protein following its overexpression. Alternative splicing of this gene produces multiple transcript variants, some encoding different isoforms. The full-length nature of all transcript variants has not been determined.
Specifications

Specifications

HERPUD1
Monoclonal
Unconjugated
HERPUD1
HERP, Mif1, SUP
Mouse
Affinity Chromatography
RUO
85430, 9709
-20° C, Avoid Freeze/Thaw Cycles
Lyophilized
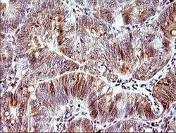
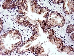
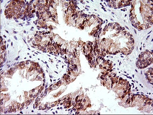
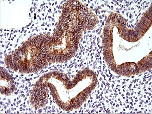
Immunocytochemistry, Immunofluorescence, Immunohistochemistry (Paraffin), Western Blot
OTI1A2
PBS with 8% trehalose and no preservative; pH 7.3
Q15011
HERPUD1
Full length human recombit protein of human HERPUD1 produced in HEK293T cell.
100 μg
Primary
Human, Rat
Antibody
IgG2a
Product Suggestions

Product Suggestions

Videos
SDS
Documents

Documents

Certificates
Promotions

Promotions

Product Content Correction

The Fisher Scientific Encompass Program offers items which are not part of our distribution portfolio. These products typically do not have pictures or detailed descriptions. However, we are committed to improving your shopping experience. Please use the form below to provide feedback related to the content on this product.

Product Title

By clicking Submit, you acknowledge that you may be contacted by Fisher Scientific in regards to the feedback you have provided in this form. We will not share your information for any other purposes. All contact information provided shall also be maintained in accordance with our Privacy Policy.

Thank You! Your feedback has been submitted. Fisher Scientific is always working to improve our content for you. We appreciate your feedback.