missing translation for 'onlineSavingsMsg'
Learn More

HARS2 Mouse anti-Human, Clone: OTI2D6, lyophilized, TrueMAB™

Mouse Monoclonal Antibody

Brand:  Origene Technologies CF503794

Encompass_Preferred

Product Code. 17683391

  • 726.00€ / 100µg

Please to purchase this item. Need a web account? Register with us today!

This item is not returnable. View return policy

Description

Description

Reconstitute with PBS (pH 7.3) and recommend to perform another round of desalting process using Product No. 7KMWCO

Aminoacyl-tRNA synthetases are a class of enzymes that charge tRNAs with their cognate amino acids. The protein encoded by this gene is an enzyme belonging to the class II family of aminoacyl-tRNA synthetases. Functioning in the synthesis of histidyl-transfer RNA, the enzyme plays an accessory role in the regulation of protein biosynthesis. The gene is located in a head-to-head orientation with HARS on chromosome five, where the homologous genes share a bidirectional promoter.
Specifications

Specifications

HARS2
Monoclonal
Unconjugated
HARS2
HARSL, HARSR, HO3, PRLTS2
Mouse
Affinity Chromatography
RUO
23438
-20° C, Avoid Freeze/Thaw Cycles
Lyophilized
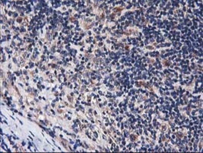
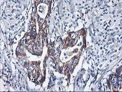
Flow Cytometry, Immunohistochemistry (Paraffin), Western Blot
OTI2D6
PBS with 8% trehalose and no preservative; pH 7.3
P49590
HARS2
Full length human recombit protein of human HARS2 produced in HEK293T cell.
100 μg
Primary
Human
Antibody
IgG1
Product Suggestions

Product Suggestions

Videos
SDS
Documents

Documents

Certificates
Promotions

Promotions

Product Content Correction

The Fisher Scientific Encompass Program offers items which are not part of our distribution portfolio. These products typically do not have pictures or detailed descriptions. However, we are committed to improving your shopping experience. Please use the form below to provide feedback related to the content on this product.

Product Title

By clicking Submit, you acknowledge that you may be contacted by Fisher Scientific in regards to the feedback you have provided in this form. We will not share your information for any other purposes. All contact information provided shall also be maintained in accordance with our Privacy Policy.

Thank You! Your feedback has been submitted. Fisher Scientific is always working to improve our content for you. We appreciate your feedback.