missing translation for 'onlineSavingsMsg'
Learn More
Learn More
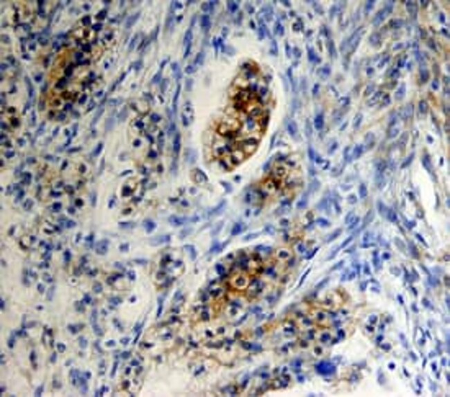
Invitrogen™ FSHR Monoclonal Antibody (626723)

Mouse Monoclonal Antibody
Brand: Invitrogen™ MA561687
This item is not returnable.
View return policy
Description
Reconstitute with sterile PBS to a final concentration of 0.5 mg/mL.
Follicle-Stimulating Hormone Receptor (FSHR) expression has been reported in ovary, uterus, and testis. ESTs have been isolated from testis libraries. G-protein Coupled Receptors (GPCRs) comprise one of the largest families of signaling molecules with more than a thousand members currently predicted to exist. All GPCRs share a structural motif consisting of seven membrane-spanning helices, and exist in both active and inactive forms. An array of activating ligands participate in the conformation of GPCRs which leads to signaling via G-proteins and downstream effectors. Ongoing studies have also shown the vast series of reactions which participate in the negative regulation of GPCRs. This turn-off activity has tremendous implications for the physiological action of the cell, and continues to drive pharmacological research for new drug candidates. Two blockbuster drugs which have been developed as GPCR-targeted pharmaceuticals are Zyprexa (Eli Lilly) and Claritin (Schering-Plough) which have multi-billion dollar shares of the mental health and allergy markets, respectively.
Specifications
| FSHR | |
| Monoclonal | |
| 0.5 mg/mL | |
| PBS with trehalose and no preservative | |
| P23945 | |
| FSHR | |
| NS0 mouse myeloma cell line transfected with human FSH R. | |
| 100 μg | |
| Primary | |
| Human | |
| Antibody | |
| IgG2b |
| Immunohistochemistry (Paraffin) | |
| 626723 | |
| Unconjugated | |
| FSHR | |
| follicle stimulating hormone receptor; follicle-stimulating hormone receptor; Follitropin receptor; FSH receptor; Fshr; FSH-R; FSHR1; FSHRO; LGR1; ODG1 | |
| Mouse | |
| Protein A/G | |
| RUO | |
| 2492 | |
| Store at 4°C short term. For long term storage, store at -20°C, avoiding freeze/thaw cycles. | |
| Lyophilized |
Product Content Correction
Your input is important to us. Please complete this form to provide feedback related to the content on this product.
Product Title
Spot an opportunity for improvement?Share a Content Correction