missing translation for 'onlineSavingsMsg'
Learn More
Learn More
FAF1 Mouse anti-Human, Clone: CPTC-FAF1-2, Novus Biologicals™
Mouse Monoclonal Antibody
Brand: Novus Biologicals NBP3-07506-100ug
This item is not returnable.
View return policy
Description
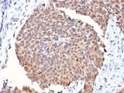
FAF1 Monoclonal specifically detects FAF1 in Human samples. It is validated for Western Blot, Immunohistochemistry-Paraffin, Protein Array.
Specifications
| FAF1 | |
| Monoclonal | |
| 0.2 mg/mL | |
| Western Blot 1 to 2 μg/mL, Immunohistochemistry-Paraffin 1 to 2 μg/mL, Protein Array | |
| CGI-03, Fas (TNFRSF6) associated factor 1, HFAF1s, TNFRSF6-associated factor 1, UBX domain protein 3A, UBX domain-containing protein 12, UBX domain-containing protein 3A, UBXD12FLJ37524, UBXN3AhFAF1FAS-associated factor 1 | |
| Recombinant human full-length FAF1 protein | |
| 100 μg | |
| Apoptosis, Cancer | |
| 11124 | |
| Store at 4°C. | |
| IgG2b κ |
| Western Blot, Immunohistochemistry (Paraffin), Peptide Array | |
| CPTC-FAF1-2 | |
| Unconjugated | |
| 10 mM PBS with 0.05% BSA | |
| Mouse | |
| Protein A or G purified | |
| RUO | |
| Primary | |
| Human | |
| Purified |
Product Content Correction
Your input is important to us. Please complete this form to provide feedback related to the content on this product.
Product Title
Spot an opportunity for improvement?Share a Content Correction