missing translation for 'onlineSavingsMsg'
Learn More
Learn More
Invitrogen™ BRD4 Recombinant Rabbit Monoclonal Antibody (1E5)

Rabbit Recombinant Monoclonal Antibody
Brand: Invitrogen™ MA560646
This item is not returnable.
View return policy
Description
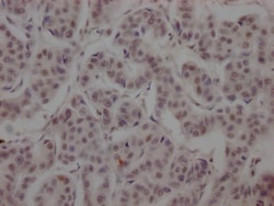
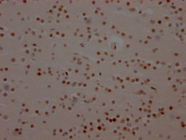
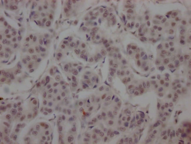
BRD4 Recombinant Monoclonal Antibody for Western Blot, IHC (P), ELISA
BRD4, a ubiquitously expressed nuclear phosphoprotein, is a member of BET protein family. It is a human homolog of mouse MCAP and consists of 2 N-terminal bromodomains, a central ET-domain, and several kinase-like motifs in its N-terminus. It is expressed as 2 isoforms; the longer variant has a C-terminus region with a praline and glutamine-rich domains. BRD4 is a chromatin-binding protein whose expression is induced in response to growth stimuli. BRD4 acts at different stages of the cell cycle by interacting with proteins including RFC and SPA-1 and regulates cell growth. It also has a role in regulating chromosomal dynamics during mitosis. BRD4 functions as a cellular target for E2 protein of papillomavirus.
Specifications
| BRD4 | |
| Recombinant Monoclonal | |
| 0.8 mg/mL | |
| PBS with 50% glycerol and 0.02% sodium azide; pH 7.4 | |
| O60885 | |
| BRD4 | |
| A synthesized peptide derived from human Brd4. | |
| 100 μL | |
| Primary | |
| Human | |
| Antibody | |
| IgG |
| ELISA, Immunohistochemistry (Paraffin), Western Blot | |
| 1E5 | |
| Unconjugated | |
| BRD4 | |
| Brd4; BRD4-NUT FUSION; Brd5; bromodomain containing 4; bromodomain-containing 4; bromodomain-containing 5; bromodomain-containing protein 4; bromodomain-containing protein 4; LOW QUALITY PROTEIN: bromodomain-containing protein 4; CAP; chromosome-associated protein; fsh-like protein; HUNK1; HUNKI; Mcap; mitotic chromosome-associated protein; Protein HUNK1; WI-11513 | |
| Rabbit | |
| Affinity chromatography | |
| RUO | |
| 23476 | |
| -20°C or -80°C if preferred | |
| Liquid |
Product Content Correction
Your input is important to us. Please complete this form to provide feedback related to the content on this product.
Product Title
Spot an opportunity for improvement?Share a Content Correction