missing translation for 'onlineSavingsMsg'
Learn More

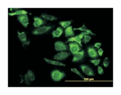
capping protein (actin filament), gelsolin-like, Mouse, Clone: 6D6, Abnova™

Mouse monoclonal antibody raised against a partial recombinant CAPG.

Brand:  Abnova H00000822-M02.100ug

Product Code. 16175594

  • 349.00€ / 100µg

Please to purchase this item. Need a web account? Register with us today!

This item is not returnable. View return policy

Description

Description

This gene encodes a member of the gelsolin/villin family of actin-regulatory proteins. The encoded protein reversibly blocks the barbed ends of F-actin filaments in a Ca2+ and phosphoinositide-regulated manner, but does not sever preformed actin filaments. By capping the barbed ends of actin filaments, the encoded protein contributes to the control of actin-based motility in nonmuscle cells. Alternatively spliced transcript variants have been observed, but have not been fully described. [provided by RefSeq]

Sequence: AALYKVSDATGQMNLTKVADSSPFALELLISDDCFVLDNGLCGKIYIWKGRKANEKERQAALQVAEGFISRMQYAPNTQVEILPQGHESPIFKQFFKDWK
Specifications

Specifications

capping protein (actin filament), gelsolin-like
Monoclonal
Unconjugated
PBS with no preservative; pH 7.4
NM_001747
CAPG
CAPG (NP_001738, 249 a.a. ∼ 348 a.a) partial recombinant protein with GST tag. MW of the GST tag alone is 26 KDa.
100 μg
Yes
822
Store at -20°C or lower. Aliquot to avoid repeated freezing and thawing.
IgG2a κ
ELISA, Immunofluorescence, Western Blot
6D6
Mouse monoclonal antibody raised against a partial recombinant CAPG.
CAPG
AFCP/MCP
Mouse
Affinity Purified
RUO
Primary
Human
Antibody
Product Suggestions

Product Suggestions

Videos
SDS
Documents

Documents

Certificates
Promotions

Promotions

Product Content Correction

Your input is important to us. Please complete this form to provide feedback related to the content on this product.

Product Title

By clicking Submit, you acknowledge that you may be contacted by Fisher Scientific in regards to the feedback you have provided in this form. We will not share your information for any other purposes. All contact information provided shall also be maintained in accordance with our Privacy Policy.

Thank You! Your feedback has been submitted. Fisher Scientific is always working to improve our content for you. We appreciate your feedback.